DOLAR
42,57 -0,01%
EURO
49,62 -0,04%
ALTIN
5.737,11 0,04%
BITCOIN
3.853.053,94 0,21%

Kayseri'de Midesinde 554 Gram Uyuşturucu Bulunan Şüpheliler Yakalandı

Kayseri'de İran'dan gelen kurye şüphelilerin midesinde 50 kapsül, toplam 554 gram uyuşturucu bulundu; S.C., R.B.C. ve G.M. gözaltına alındı.

Yayın Tarihi: 09.12.2025 11:00
Güncelleme Tarihi: 09.12.2025 11:00

Kayseri'de Midesinde 554 Gram Uyuşturucu Bulunan Şüpheliler Yakalandı

Kayseri'de midesinde 554 gram uyuşturucu bulunan şüpheliler yakalandı

Operasyon ve ele geçirilenler

Kayseri İl Emniyet Müdürlüğü ekipleri tarafından yürütülen çalışmada, İran’dan Türkiye’ye gelen ve uluslararası uyuşturucu madde ticareti yaptığı tespit edilen kurye şüphelilere yönelik operasyon düzenlendi.

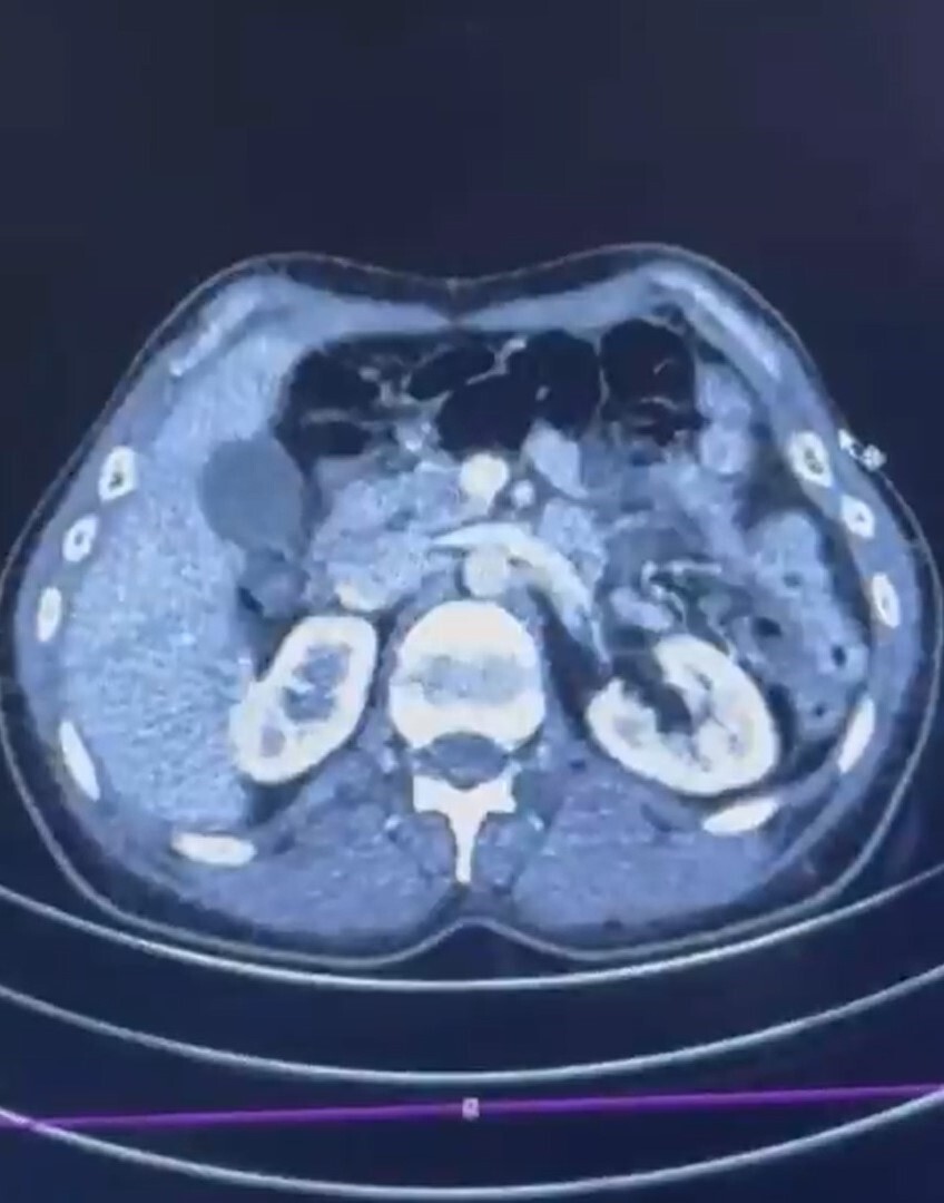
Operasyonda S.C., R.B.C. ve G.M. yakalandı. Kayseri Şehir Hastanesi'nde yapılan iç beden muayenelerinde, S.C. ve R.B.C.'nin mide kısımlarında bulunan 50 adet kapsül halinde toplam 554 gram uyuşturucu madde ele geçirildi.

Şüpheliler hakkında 'Uyuşturucu Madde Ticareti Yapmak' suçundan işlem başlatılarak gözaltına alındı.

Emniyetten açıklama

Kayseri İl Emniyet Müdürlüğü'nden yapılan açıklamada, Uyuşturucu ve uyarıcı madde satıcılarına karşı yürütülen mücadelenin aralıksız ve kararlı bir şekilde devam edeceği ifade edildi.

ŞÜPHELİLERİN MİDESİNDE KAPSÜL ŞEKLİNDE YARIM KİLO UYUŞTURUCU MADDE ELE GEÇİRİLDİ.

ŞÜPHELİLERİN MİDESİNDE KAPSÜL ŞEKLİNDE YARIM KİLO UYUŞTURUCU MADDE ELE GEÇİRİLDİ.