Karaman'da 6 aylık E.A.'nın boğazına kaçan kumanda pili ameliyatla çıkarıldı

Karaman'da 6 aylık E.A.'nın boğazına kaçan kumanda pili ameliyatla çıkarıldı; bebek 24 saat takip sonrası taburcu edildi.

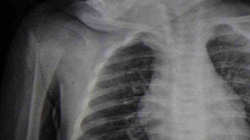
Karaman'da 6 aylık E.A.'nın boğazına kaçan kumanda pili ameliyatla çıkarıldı Karaman Eğitim ve Araştırma Hastanesi acil servisine kusma şikayetiyle getirilen 6 aylık E.A.'nın boğazında yapılan muayene ve tetkiklerde kumanda pili tespit edildi. Solunum sıkıntısı yaşayan bebek, Çocuk Cerrahisi Uzmanı Doç.…
Sonraki Haber