Karaman'da 6 aylık E.A.'nın boğazına kaçan kumanda pili ameliyatla çıkarıldı

Karaman'da 6 aylık E.A.'nın boğazına kaçan kumanda pili ameliyatla çıkarıldı; bebek 24 saat takip sonrası taburcu edildi.

Yayın Tarihi: 07.01.2026 10:57
Güncelleme Tarihi: 07.01.2026 11:09

Karaman'da 6 aylık E.A.'nın boğazına kaçan kumanda pili ameliyatla çıkarıldı

Karaman'da 6 aylık E.A.'nın boğazına kaçan kumanda pili ameliyatla çıkarıldı

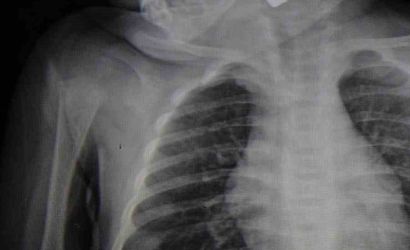
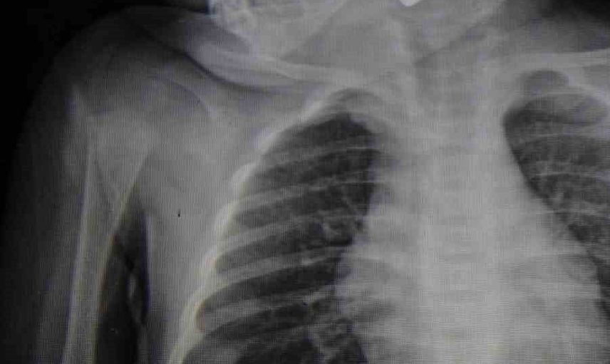
Karaman Eğitim ve Araştırma Hastanesi acil servisine kusma şikayetiyle getirilen 6 aylık E.A.'nın boğazında yapılan muayene ve tetkiklerde kumanda pili tespit edildi. Solunum sıkıntısı yaşayan bebek, Çocuk Cerrahisi Uzmanı Doç. Dr. Mehmet Uysal tarafından gerçekleştirilen ameliyatla pil çıkarıldı.

Hemen müdahale ettik

Doç. Dr. Mehmet Uysal, olayın gelişimini şu sözlerle anlattı:

"Acil polikliniğimize kusma şikayeti ile 6 aylık bir kız bebek getirilmiş ve bize haber verildi. Biz de vakit kaybetmeden geldik, hastamızı gördük. Yapılan tetkikler sonucunda, ağız tabanına oturan ve yemek borusunun birinci darlığına kadar uzanan, kumanda pili dediğimiz bir pille karşılaştık. Filmde ve muayenede bunu gördük. Hastayı ilk gördüğümüzde bayağı siyanotik durumda, solunum sıkıntılıydı ve oksijen satürasyonu 90 civarındaydı. Böyle olunca bir an önce beklemeden hızlı bir şekilde ameliyathaneye götürdük. Orada ameliyathanedeki anestezi uzmanlarımız ve personel bize yardımcı oldu, hasta hızlı bir şekilde entübe edildi. Ondan sonra da laringoskop ve magill forseps dediğimiz malzemelerimizle bu yabancı cismi çıkarmış olduk. Bir an evvel müdahale ettik, iyi ki müdahale ettik, orada ağız tabanında, özellikle ön kısmında hasar oluşmuştu. Müdahale sonrasında da hastanın solunum problemleri bir süre devam etti, bu yüzden 24 saat takip ettik. Herhangi bir problem oluşmayınca 24 saat sonra kontrole gelmek üzere hastayı taburcu ettik" diye konuştu.

Aileleri uyarıyoruz

Doç. Dr. Uysal, ebeveynlere şu uyarılarda bulundu:

"Bu konularda aileleri uyarıyoruz. 1 yaş altı çocuklarda bile bu durum oluşabilir. Bazen 2-3 yaş diyoruz ama 1 yaş altındaki çocuklarda da emekleme döneminde bile bu tür yabancı cisimleri, özellikle kumanda pili, kalem pil gibi şeyleri ortada bırakmamak lazım. Çocuklar meraklı olduğu için her şeyi ağzına götürmeye meyilli. Dikkat etmediğimiz takdirde ölümcül sonuçlar oluşabiliyor. Bu vakada şanslıydık, çocuktaki durum erken fark edildi ve hemen müdahale edildi. Şu anda çocuk sağlıklı bir şekilde hayatına devam ediyor" dedi.

DOKTOR DOÇ. DR. MEHMET UYSAL, KÜÇÜK YAŞTA ÇOCUKLARI BULUNAN AİLELERİ UYARARAK DİKKATLİ OLMALARINI...

DOKTOR DOÇ. DR. MEHMET UYSAL, KÜÇÜK YAŞTA ÇOCUKLARI BULUNAN AİLELERİ UYARARAK DİKKATLİ OLMALARINI İSTEDİ.

KARAMAN'DA 6 AYLIK BEBEĞİN BOĞAZINA KAÇAN KUMANDA PİLİ, AMELİYATLA ÇIKARILDI.

Yazar
EDİTÖR

Gizem Polat

2 yıllık deneyimli (Junior). Gece boyunca sosyal medyada viral olan videoları, yurt dışındaki (ABD saat dilimi) gelişmeleri takip eder ve sabah gündemi için taslaklar hazırlar.