Prof. Dr. Nevzat Karabulut’tan Hayati Tespit: Kalp Deliği Paradoks Emboliye Yol Açıyor

Prof. Dr. Nevzat Karabulut, Radiology'de yayımlanan çalışmasında kalpteki gizli deliklerin paradoks emboliye yol açabileceğini ve erken görüntülemenin hayat kurtardığını ortaya koydu.

Yayın Tarihi: 07.01.2026 08:49
Güncelleme Tarihi: 07.01.2026 08:49

Prof. Dr. Nevzat Karabulut’tan Hayati Tespit: Kalp Deliği Paradoks Emboliye Yol Açıyor

Prof. Dr. Nevzat Karabulut’tan Hayati Tespit: Kalp Deliği Paradoks Emboliye Yol Açıyor

Prof. Dr. Nevzat Karabulut, Özel Denizli Tekden Hastanesi dönemindeki başarılı çalışmalarının ardından, kalpteki gizli deliklerin paradoks emboliye yol açabileceğini gösteren önemli bir bulguya imza attı.

Çalışma ve vaka detayı

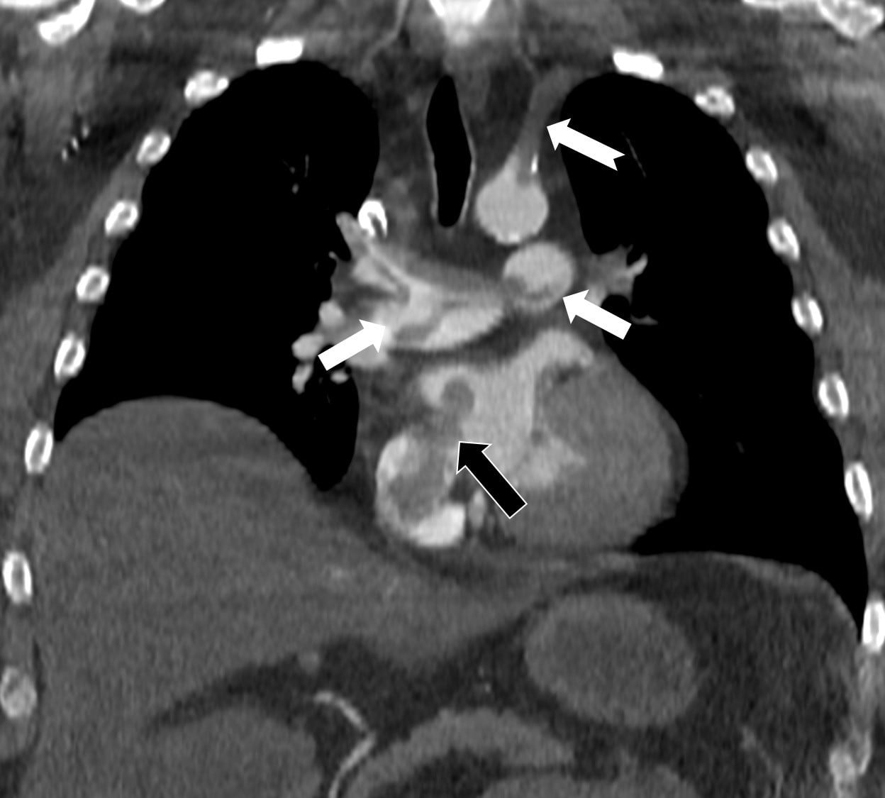
Kalp ve akciğer görüntülemesi alanında uluslararası çalışmalarıyla tanınan Radyoloji Uzmanı Prof. Dr. Nevzat Karabulut tarafından hazırlanan "Paradoxical Embolism with Clot-in-Transit in Atrial Septal Defect" adlı makale, dünyanın önde gelen tıp dergilerinden Radiology'nin 2025 Kasım sayısında yayımlandı.

Çalışmada, penis ameliyatından 5 gün sonra ani göğüs ağrısı, nefes darlığı ve kol uyuşması şikâyetiyle başvuran 60 yaşındaki bir hastada incelenen bulgular paylaşıldı. Araştırma, daha önce fark edilmemiş kalp odacıkları arasındaki bir delikten geçen pıhtının hastada hayati tehlike yarattığını ortaya koydu.

Görüntüleme bulguları

Çalışmada kullanılan bilgisayarlı tomografi anjiyografisi, toplar damarlardan kaynaklanan pıhtının akciğer damarlarını tıkamasının yanında, kalpteki delik nedeniyle pıhtının sağ taraftan sol tarafa geçerek ana atardamara ulaştığını ve sol kol damarını tıkadığını gösterdi. Bu tablo, klasik akciğer embolisinin ötesinde paradoks emboli riskini belgeledi.

Uzmanın uyarıları ve öneriler

Prof. Dr. Karabulut, toplardamar pıhtılarının genelde bacak kaynaklı olup ölümcül akciğer embolisine yol açabildiğini, ancak kalp deliği bulunan hastalarda aynı pıhtıların ana atardamar yoluyla beyin, kol ve bacak gibi bölgelere geçerek ani damar tıkanmalarına neden olabileceğini vurguladı.

Çalışmada, nedeni bilinmeyen pıhtı atmalarında kalpteki gizli deliklerin mutlaka araştırılması gerektiği belirtildi. Ayrıca ekokardiyografi ve bilgisayarlı tomografi tetkiklerinin erken ve doğru tanı koymada hayat kurtarıcı rol oynadığına dikkat çekildi.

Bu bulgular, kalp deliği taşıyan veya nedeni belirsiz emboli atağı geçiren hastaların hızlı ve kapsamlı görüntüleme ile değerlendirilmesinin önemini bir kez daha ortaya koyuyor.

ÖZEL DENİZLİ TEKDEN HASTANESİ’NDE GÖREV YAPTIĞI DÖNEMDE DE BAŞARILI ÇALIŞMALARA İMZA ATAN...

ÖZEL DENİZLİ TEKDEN HASTANESİ’NDE GÖREV YAPTIĞI DÖNEMDE DE BAŞARILI ÇALIŞMALARA İMZA ATAN RADYOLOJİ UZMANI PROF. DR. NEVZAT KARABULUT, KALPTEKİ GİZLİ DELİKLERİN HAYATI TEHDİT EDEN PARADOKS EMBOLİYE NEDEN OLABİLDİĞİNİ ORTAYA KOYDU.

ÖZEL DENİZLİ TEKDEN HASTANESİ’NDE GÖREV YAPTIĞI DÖNEMDE DE BAŞARILI ÇALIŞMALARA İMZA ATAN...

Yazar
EDİTÖR

Leyla Güneş

4 yıllık deneyimli. Avrupa Birliği, ABD siyaseti ve iklim krizi konularına odaklıdır. Yabancı ajansları yakından takip eder.