DOLAR
42,69 -0,24%
EURO
50,19 -0,06%
ALTIN
5.894,81 -0,73%
BITCOIN
3.842.959,27 1,66%

Akciğer kanserinde Türkiye şok edici bir rekor kırdı! Bu belirtiler sizi uyarıyor

Akciğer kanseri, dünyada en çok ölüme neden olan kanser türü. Türkiye'de ise durum daha da vahim. Uzmanlar, Türkiye'nin akciğer kanserinden ölüm hızı sıralamasında dünya ülkeleri arasında 4'üncü olduğunu açıkladı. Peki akciğer kanserinin belirtileri neler? Erken teşhis için ne yapmalı? İşte detaylar...

Yayın Tarihi: 28.02.2024 13:50
Güncelleme Tarihi: 28.02.2024 13:50

Akciğer kanserinde Türkiye şok edici bir rekor kırdı! Bu belirtiler sizi uyarıyor

Türkiye, akciğer kanseri görülme sıklığı açısından erkeklerde dünya birincisi, her iki cinste ise 5'inci sırada yer alıyor. Bu hastalık, yılda yaklaşık 20 bin kişinin hayatını kaybetmesine neden oluyor. Akciğer kanserinin en büyük sebebi ise sigara. Uzmanlar, sigara içenlerin bu alışkanlıklarından bir an önce vazgeçmeleri gerektiğini vurguluyor. Peki akciğer kanserinin belirtileri neler, tedavisi var mı? Detaylarda...

AKCİĞER KANSERİNİN EN ÖNEMLİ BELİRTİLERİ NELERDİR?

AKCİĞER KANSERİ

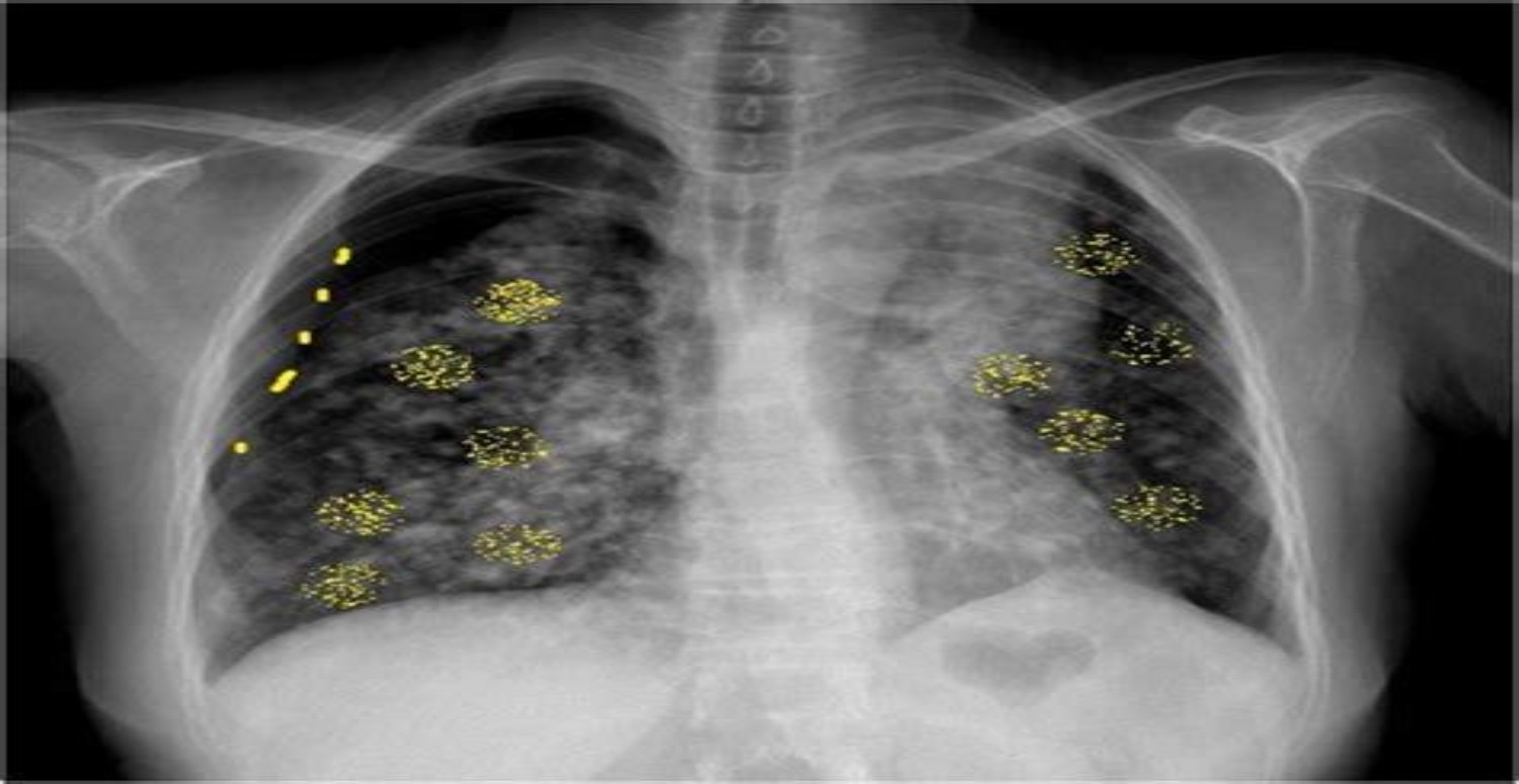
Akciğer kanserinin erken teşhis edilmesi, hastalıksız ve uzun bir yaşam süresi sağlamak için çok önemli. Bu nedenle, akciğer kanserinin belirtilerine dikkat etmek gerekiyor. İşte akciğer kanserinin belirtileri:

• Kalıcı veya giderek kötüleşen ve bazen kanlı balgamın eşlik ettiği öksürük

• Göğüs veya sırt ağrısı

• Nefes darlığı

• Hırıltılı solunum

• Anlamsız kilo kaybı

AKCİĞER KANSER BELİRTİSİ

Bu belirtilerden bir veya birkaçından yakınan kişilerin vakit kaybetmeden bir sağlık kuruluşuna başvurması gerekiyor ve en azından bir akciğer filmi çektirmesi gerekiyor. 

Ayrıca, akciğer kanserinden korunmak için 50 yaş ve üzeri, halen sigara içen veya daha önce uzun süreli sigara içme geçmişi olan kişilerin düşük doz radyasyona maruz kalınarak yapılan bilgisayarlı tomografi taraması yaptırmasını öneriliyor.

AKCİĞER KANSERİ TEDAVİSİ VAR MI?

Akciğer kanseri tedavisi ise hastalığın evresine ve hastanın durumuna göre değişiyor. Erken evrede yakalanan hastalarda, ameliyat ile kanserli akciğer dokusunun çıkarılması en etkili tedavi yöntemi olarak gösteriliyor. 

AKCİĞER KANSERİ TEDAVİSİ

İleri evre hastalarda ise kemoterapi, radyoterapi ve immünoterapi gibi tedavi seçenekleri uygulanabiliyor.

Akciğer kanseri, önlenebilir bir hastalık. Bu yüzden, sağlıklı bir yaşam tarzı sürdürmek, sigara ve alkol gibi zararlı alışkanlıklardan uzak durmak, düzenli sağlık kontrolleri yaptırmak hayati önem taşıyor.