Bilecik'te Kapalı Yöntemle Hayat Kurtaran Ana Atardamar Onarımı

Bilecik'te 39 yaşındaki Mehmet D.'nin ana atardamarındaki yırtık kapalı yöntemle stentle onarıldı; hasta ağrıları geçerek sağlıklı şekilde taburcu edildi.

Yayın Tarihi: 05.01.2026 11:39
Güncelleme Tarihi: 05.01.2026 11:39

Bilecik'te Kapalı Yöntemle Hayat Kurtaran Ana Atardamar Onarımı

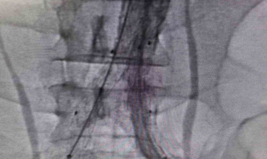
Bilecik'te kapalı yöntemle hayat kurtaran onarım

39 yaşındaki Mehmet D., şiddetli sırt ve karın ağrısı şikâyetiyle başvurdu. Daha önce farklı sağlık kuruluşlarına başvurduğu ancak net tanı konulamadığı ifade edilen hasta, Bilecik Eğitim ve Araştırma Hastanesi acil servisinde yapılan ileri görüntüleme tetkikleriyle değerlendirilerek doğru tanıya ulaştırıldı.

Yapılan tetkiklerde kalpten çıkan ana damarın iç duvarında yırtılma tespit edildi. Hayati risk taşıyan bu durum üzerine hasta, kalp ve damar cerrahisi ekibi tarafından acil olarak değerlendirildi ve tedaviye alındı.

Kalp ve Damar Cerrahisi Uzmanı Op. Dr. Elmas Üreyen tarafından gerçekleştirilen işlem kapalı yöntemle yapıldı. Damar içinden girilerek uygulanan işlem sırasında, yırtılan ana damarın içine özel bir stent yerleştirildi ve damar içten onarıldı. Açık ameliyata gerek kalmadan tamamlanan müdahale sonrası hasta kısa sürede rahatladı.

Tedavi sonrasında yakından takip edilen hastanın ağrılarının tamamen geçtiği ve genel sağlık durumunun iyi olduğu gözlemlendi. Kontrollerinin sorunsuz seyretmesi üzerine hasta sağlıklı bir şekilde taburcu edildi.

Op. Dr. Elmas Üreyen'in açıklaması

Bu tür damar yırtılmaları ani gelişebilen ve zamanında müdahale edilmezse hayati risk taşıyan durumlardır. Hastamızda erken tanı koyarak kapalı yöntemle müdahale ettik. Açık ameliyata gerek kalmadan yapılan bu işlem, hastanın hem daha hızlı iyileşmesini hem de günlük yaşamına kısa sürede dönmesini sağladı. Hastanemizde, ileri teknoloji tıbbi cihazlar ve deneyimli hekim kadrosu ile bu tür yüksek riskli damar hastalıklarının tanı ve tedavisi başarıyla gerçekleştirilmektedir. Kapalı yöntemlerle uygulanan bu tedaviler, hastalara daha konforlu bir süreç sunarken, iyileşme süresini de önemli ölçüde kısaltmaktadır

BİLECİK'TE HAYAT KURTARAN KAPALI DAMAR TEDAVİSİ

BİLECİK'TE HAYAT KURTARAN KAPALI DAMAR TEDAVİSİ

BİLECİK'TE HAYAT KURTARAN KAPALI DAMAR TEDAVİSİ

Yazar
EDİTÖR

Hakan Demir

4 yıllık deneyimli. Ege Bölgesi'ndeki gelişmeleri takip ederken, aynı zamanda sosyal medya trendlerini haberleştiren dinamik bir editör. Çevre haberleri ve sosyal olaylarda uzmanlaşmıştır.