DOLAR
43,02 0%
EURO
50,44 0%
ALTIN
5.984,94 0%
BITCOIN
3.933.904,79 -1,23%

Prof. Dr. Şevket Özkaya: Metamfetamin ve Kokain Gençlerde Tehlike

Prof. Dr. Şevket Özkaya, metamfetamin ve kokainin gençlerde ölümcül bağımlılığa yol açtığını, beyin ve organ hasarına neden olduğunu vurguladı.

Yayın Tarihi: 03.01.2026 12:17
Güncelleme Tarihi: 03.01.2026 12:23

Prof. Dr. Şevket Özkaya: Metamfetamin ve Kokain Gençlerde Tehlike

Prof. Dr. Şevket Özkaya: Metamfetamin ve Kokain Gençlerde Tehlike

Uzmanından uyarı

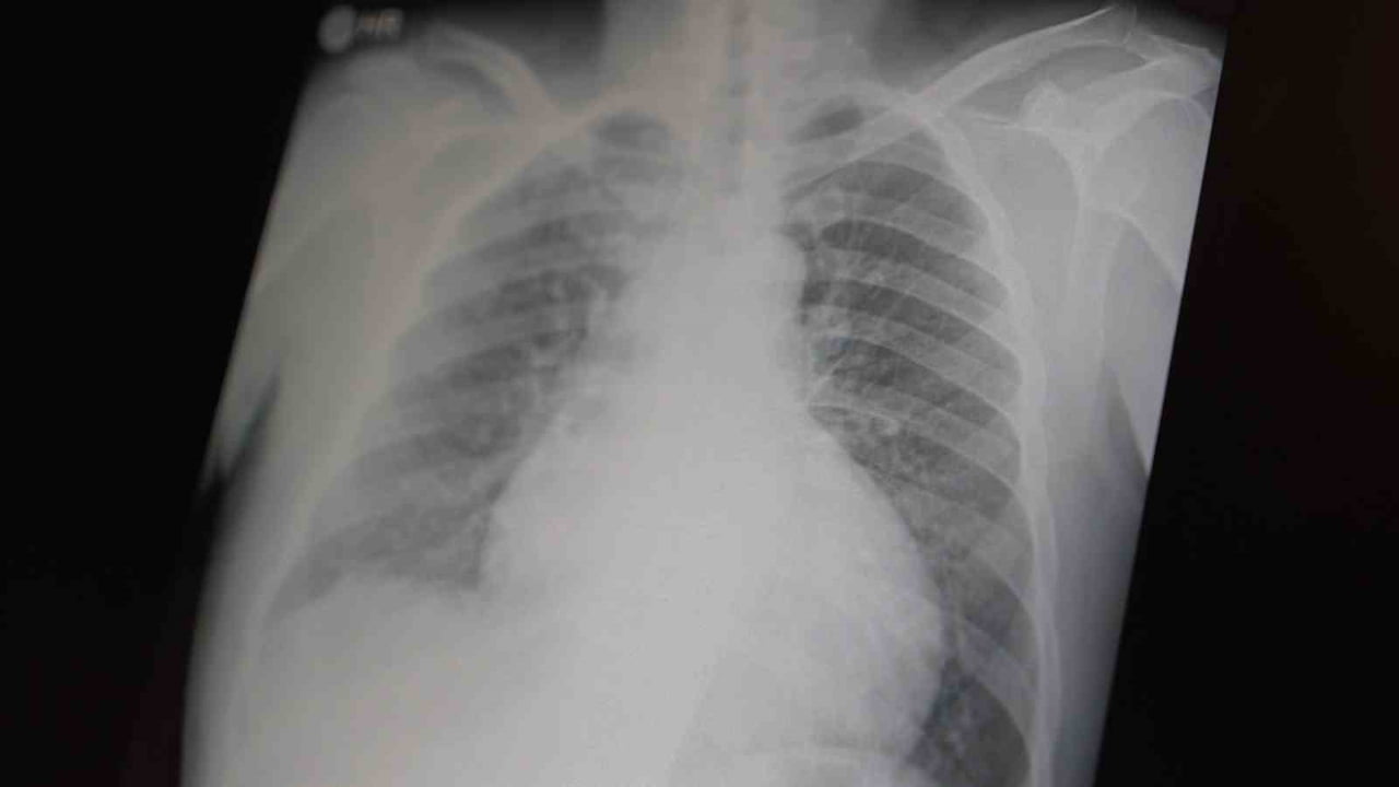
Göğüs Hastalıkları Uzm. Prof. Dr. Şevket Özkaya, tüm dünyada çocuk ve gençleri etkileyen iki önemli bağımlılığın metamfetamin ve kokain olduğunu belirterek, her iki uyuşturucunun ciddi sağlık sorunlarına ve ölümlere yol açtığını açıkladı.

"Tüm dünyada çocukları ve gençleri etkileyen iki önemli bağımlılıktan bahsetmek istiyorum. Bunlar metamfetamin ve kokain bağımlılığıdır. Metamfetamin en ölümcül, en çok bağımlılık yapan, okul çağında en kolay ulaşılabilen bir sentetik uyuşturucudur. Kullanıma bağlı ciddi akciğer ve karaciğer sorunları ortaya çıkıyor. Çok küçük dozlarda bile anında bağımlılık yapabiliyor ve tedaviyle bırakılması çok zor bir bağımlılıktır" dedi.

"Kokain, gençler arasında ölüme neden olan uyuşturucu maddelerden birisidir. Toplumda aile kontrolü dışında kalan gençler bu maddelere çok kolay yöneliyor" diye konuştu.

Açıklamalarında, her iki uyuşturucunun beyin hasarı oluşturduğunu ve nöro sinir hücrelerini harap ederek solunum ve kalbin durmasına sebep olduğunu vurgulayan Özkaya, "Metamfetamin tüm dünyada bir sorun olmanın ötesinde, ülkemizde de gençlerimizi etkileyen toplumsal bir sorun olarak görülmelidir" ifadelerini kullandı.

GÖĞÜS HASTALIKLARI UZM. PROF. DR. ŞEVKET ÖZKAYA, TÜM DÜNYADA ÇOCUK VE GENÇLERİ ETKİLEYEN İKİ...

GÖĞÜS HASTALIKLARI UZM. PROF. DR. ŞEVKET ÖZKAYA, TÜM DÜNYADA ÇOCUK VE GENÇLERİ ETKİLEYEN İKİ ÖNEMLİ BAĞIMLILIĞIN METAMFETAMİN VE KOKAİN OLDUĞUNU BELİRTEREK, HER İKİ UYUŞTURUCUNUN CİDDİ SAĞLIK SORUNLARINA VE ÖLÜMLERE YOL AÇTIĞINI AÇIKLADI.

GÖĞÜS HASTALIKLARI UZM. PROF. DR. ŞEVKET ÖZKAYA, TÜM DÜNYADA ÇOCUK VE GENÇLERİ ETKİLEYEN İKİ...

Yazar
EDİTÖR

Sinan Bekiroğlu

6 yıllık deneyimli "Shift Şefi". Gece vardiyasında sitenin manşet yönetiminden sorumludur. Olası bir deprem, kaza veya ani gelişmede tüm ekibi koordine edene kadar gemiyi yüzdürür.